Tympanosclerosis
Definition:
is deposition of acellular hyaline and calcium deposits within the submucous layer of the tympanic membrane / submucous membrane of the middle ear cavity. In a majority of patients these plaques are so insignificant that they cause very little impairment in the hearing ability of the patient. These plaques could be likened to healed scar tissue.
When present over the tympanic membrane these plaques appear like a whitish cresentic shaped plaques.
Causes:
1. Could be caused by resolved otitis media.
2. Trauma
3. Chronic otitis media with effusion
4. After recurrent bouts of acute otitis media (middle ear tympanosclerosis)
5. After grommet insertion
6. Eustachean tube obstruction

Figure showing tympanosclerosis
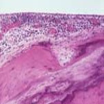
Histology:
There is hyalinisation of the subepithelial connective tissue of the tympanic membrane and middle ear cavity. Calcifiation is commonly present in these lesions. Osteoneogenesis can also occur within these lesions.

Figure showing histology of tympanosclerosis
Plaques occurring in the tympanic membrane is limited to lamina propria. Deposition of bone due to osteoneogenesis in the attic region may cause fixation of malleus and incus leading on to conductive deafness.
Pathophysiology:
It has been postulated that after an episode of otitis media with effusion / or acute otitis media the collagen undergoes degeneration and subsequent dystrophic calcification and formation of tympanosclerosis.
Treatment:
Most of the patients with tympanoslerosis are symptom free and the finding is purely accidental. If these patients have significant conductive deafness then surgical removal of the plaques from the tympanic membrane and fashioning a neo tympanic membrane using temporalis fascia graft can be attempted. If these plaques involve the attic area and cause ossicular fixation leading on to conductive deafness, ossiculoplasty can be attempted.